Dr. Namratha Chandrahari
Nisreen Ronaque
Enamel Dental Clinic, Banjara Hills, Hyderabad
54
Female
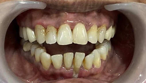
Nisreen Ronaque, a 54-year-old female, visited Enamel Dental Clinic, a reputed dental clinic in Banjara Hills, Hyderabad, with concerns about a loose tooth in the lower front region. The mobility had gradually increased over time, affecting both her comfort and confidence while eating and speaking.
The patient reported the following symptoms:
Progressive mobility of the lower front tooth
Difficulty chewing comfortably
Concern about tooth loss and aesthetics
Mild discomfort while biting
These symptoms indicated potential periodontal damage requiring detailed evaluation.

To understand the condition of the affected tooth and surrounding bone structure, Dr. Namratha Chandrahari performed a CBCT (Cone Beam Computed Tomography) scan.
This advanced diagnostic tool allowed Dr. Namratha to:
Evaluate bone density and quality
Assess the extent of periodontal damage
Plan precise implant placement
Ensure a predictable treatment outcome
After careful clinical and radiographic evaluation, the patient was diagnosed with:
Localized Periodontitis
Localized periodontitis is a condition in which gum infection causes destruction of the supporting bone and tissues around a specific tooth. If left untreated, it can lead to tooth loss.
Early diagnosis and treatment at Enamel Dental Clinic in Banjara Hills helped prevent further complications in this case.
A personalized treatment plan to restore both the functionality and aesthetics created by Dr. Namratha Chandrahari included:
Zirconia restorations were chosen due to their:
High strength and durability
Realistic, natural look of teeth
Biocompatibility with oral tissues
This is a contemporary form of treatment that gave the patient long-term stability and natural smile.

Dr. Namratha Chandrahari, an acclaimed dentist in Banjara Hills, Hyderabad, performed a precise dental implant surgery for Nisreen Ronaque, ensuring optimal function and aesthetics. The procedure included the following steps:
Local anesthesia was used to numb the surgical area, with sedation options provided to ensure patient comfort.
If the affected tooth was beyond repair, it was carefully extracted to prepare for the implant.


A precise incision was made in the gum tissue, and the dental implant was placed in the jawbone using advanced technology to ensure stability and proper alignment.
The implant fused with the bone over several months, providing a secure foundation for the crown.
After osseointegration, an abutment was placed, followed by a custom zirconia crown to restore both function and appearance.
Dr. Namratha ensured the entire process was carried out with precision, resulting in a durable and natural-looking implant.
Following the surgery, Nisreen Ronaque was provided with essential post-operative care instructions, including:
Dr. Namratha Chandrahari guided the patient through the recovery process to ensure a smooth and successful outcome.
The treatment outcome was highly successful.
Results observed:
The patient reported significant improvement in comfort and confidence following the procedure.

With proper oral hygiene and regular dental checkups, the implant and zirconia restoration of Nisreen Ronaque is expected to:
Dr. Namratha Chandrahari emphasized that regular follow-ups can help maintain good oral health.
The patient expressed high satisfaction with the treatment outcome. She said, “I visited Enamel Dental Clinic for treatment of a loose tooth. Dr. Namratha Chandrahari and her team provided excellent care and explained the entire implant procedure clearly. The treatment was smooth, and the results exceeded my expectations. My smile and confidence have been restored, and I highly recommend Dr. Namratha to anyone looking for a skilled dentist in Banjara Hills, Hyderabad.”