
Dr. Namratha Chandrahari
Jason Hatton
Enamel Dental Clinic, Banjara Hills, Hyderabad
50
Male
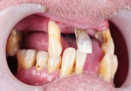
Jason had been living with poorly fitted removable dentures that caused discomfort and were not functional, leaving him frustrated with his oral health. Additionally, the dentures were exacerbated by chronic periodontitis, leading to further oral complications. His primary concern was the inability to eat, speak, and smile confidently due to the poor fit and deteriorating condition of his dental prosthesis.


Upon his visit to Enamel Dental Clinic, Dr. Namratha Chandrahari conducted a thorough examination, including advanced diagnostic imaging. A Cone Beam Computed Tomography (CBCT) scan was used to evaluate the underlying bone structure and to plan the placement of implants with precision. The scan confirmed severe bone loss, which required a more advanced solution.
Dr. Namratha diagnosed Jason with missing teeth, decayed and ill-fitting dentures, compounded by chronic periodontitis. These issues resulted in the need for a comprehensive full-mouth rehabilitation plan, including advanced implantology techniques to restore both function and aesthetics.
Given the extent of Jason’s dental concerns and the lack of sufficient bone for traditional implants, Dr. Namratha recommended a customized solution involving All-on-6 conventional implants in combination with zygomatic implants on both sides. This innovative approach would not only address bone loss but also provide a permanent, functional, and aesthetically pleasing solution for his smile.

Dr. Namratha meticulously planned and executed the All-on-6 implants combined with zygomatic implants, ensuring optimal placement for maximum stability. The All-on-6 technique involves placing six implants in the upper or lower jaw to support a full arch of fixed teeth, while zygomatic implants are specially designed to anchor the prosthesis in patients with significant bone loss.
The procedure was completed with minimal discomfort, thanks to the clinic’s state-of-the-art technology and Dr. Namratha’s expert surgical skills.


After the procedure, Jason was given detailed post-operative care instructions, focusing on functional and aesthetic recovery. Dr. Namratha emphasized the importance of proper oral hygiene and regular check-ups to ensure the longevity of the implants. Jason was also guided on how to adjust to his new fixed teeth, as the transition from removable dentures to a permanent prosthesis required careful adaptation.
The fixed teeth provided immediate stability and function, allowing Jason to regain normal activities like eating, speaking, and smiling without discomfort.


The results of the full mouth rehabilitation were nothing short of exceptional. Jason was thrilled with the outcome — not only did he regain full functionality, but his new smile looked completely natural. The All-on-6 implants and zygomatic implants successfully restored his confidence, and his quality of life improved dramatically.
Jason’s restored smile and renewed ability to chew and speak comfortably made a significant difference in his day-to-day life.
With proper care and maintenance, Jason is expected to enjoy long-term functionality and aesthetics with his new implants. Dr. Namratha has ensured that the treatment plan supports not only immediate success but also long-term stability, providing Jason with the best possible dental care for years to come.
“I have traveled from New Zealand to see Dr. Namratha and her team for full mouth dental implants. From the moment I arrived in Hyderabad, I was treated with the utmost care and kindness by everyone at Enamel Dental. The knowledge, technology, and skill Dr. Namratha has is second to none. I had a specific timeframe of 15 days and a certain budget, and Dr. Namratha managed to accommodate my every need with absolute perfection. I struggled a lot with my teeth for many years, and she has given me my confidence back. The result of the beautiful smile has blown me away. To anybody traveling from overseas and looking for an exceptional 5-star dentist, who is so caring and talented and will work in every way possible to suit your needs and make your journey to a new smile as amazing as possible, she is the number 1 dentist in India to go and see. No hidden costs, a treatment plan to suit you, and total care from the whole team at Enamel Dental. Dr. Namratha and her team are the best around.”

Enamel Dental is a trusted dental clinic in Banjara Hills, Hyderabad, renowned for offering advanced and personalized dental care. If you are considering full mouth dental implants in Banjara Hills, or need solutions like All-on-6 implants in Banjara Hills, Dr. Namratha Chandrahari and her team provide the highest level of expertise and patient care.
With over 15 years of experience in prosthodontics and implantology, Dr. Namratha has successfully transformed the smiles and lives of hundreds of patients. At Enamel Dental Clinic, you can trust that your dental needs will be addressed with professionalism, precision, and compassion.
If you’re looking for a dentist in Banjara Hills who specializes in advanced implant dentistry, full mouth rehabilitation, and zygomatic implants, Enamel Dental is the place for you. Reach out to us to schedule a consultation and begin your journey toward a healthier, more confident smile.